Norwich Skin Platform Wound Healing Model (NSPwoundhealing)

What is this?

Skin wound healing is a complex and multicellular process essential to maintain the skins primary function of protection the body from the bacterial and environmental challenges of the external environment.

A range of processes are involved in normal wound healing, including replacement and remodelling of the structural dermal extracellular matrix and re-epithelialisation of the epidermal layer to maintain an efficient and effective barrier function.

The Donut Model

Test compounds can be added to the wound bed (topical) or surrounding media (systemic).

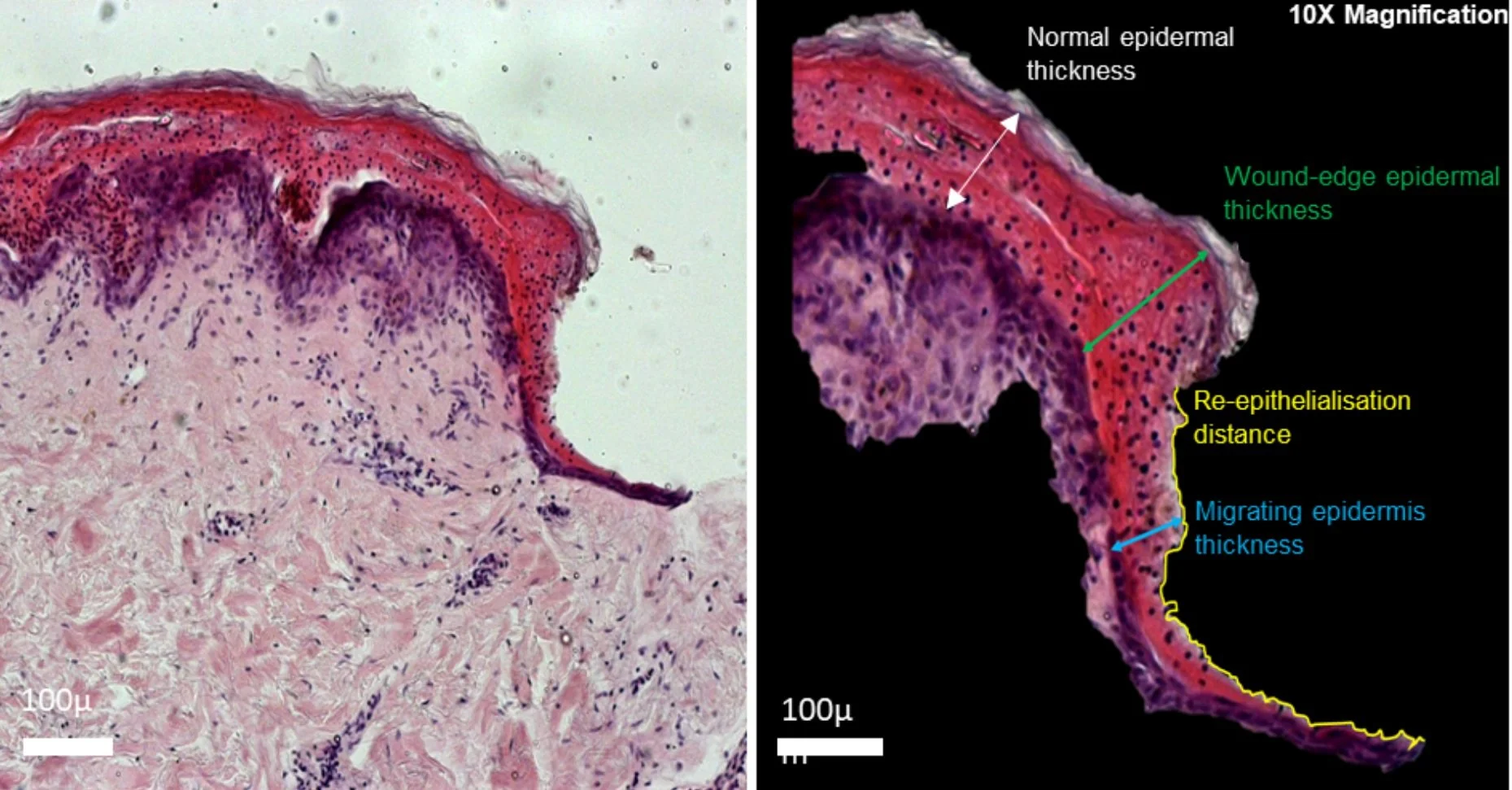
Wound re-epithelialisation observed 8 days post wounding.

Using our experience of using human skin as a model to study normal and inflammed cutaneous skin conditions we have developed an ex vivo model system to allow analysis and testing of modulators of the re-epithelialisation process.

Using 8mm full thickness skin biopsies we can generate a 3mm "wound" by removal of the epidermal layer, we refer to this as a ‘donut model’. These biopsies are cultured with a physiologically relevant air-liquid interface which allows the wound bed to be accessed for topical application or alternatively systemic treatments may be added to the surrounding media.


Analysis of Wound Healing

After 8 days, we use H&E staining on sections of wounded biopsies and analyse with image analysis software